Show Off Your Smile
with Confidence at
Suman Dental Care.
Experience gentle, up-to-date dental care designed with your comfort in mind — even for a routine checkup.
Quality Certified.
Over 10,000 Smiles Restored.
Dental Cases Resolved
8k+
Cases
Resolved.
2
Clinics
4+
Dental
& Staff.
4k+
5-Star
Reviews.
(Main Branch)
Suman Dental Care
Bahadurpur Housing Colony, Near Bhootnath Metro Station, Patna-26.
Doctors Appointment
Book your appointment online in just minutes with our easy-to-use system.
Doctors Appointment
+91 9546702833Suman Dental Care Always Delivering Quality
We know that for many, a trip to the dentist can feel stressful or worrisome.
Quality Certified.
Hygiene & Safety First.
Certified Dentists.
Your Smile, Our Care.
We believe a healthy smile is about more than just teeth—it’s confidence, comfort, and overall well-being. For more than 12 years, our skilled team of dentists, hygienists, and specialists has been delivering gentle, personalized care with the latest dental technology.
12+
Practical Area
Experience
Working Hours
Your dental health matters—let us make it simple to maintain.
- Monday-Saturday 10:00 AM - 8:00 PM
- Sunday 10:00 AM - 1:00 PM
Why Choose Suman Dental Care
Each smile carries its own story—and we care for it.
We shine. Our expert dentists, cutting-edge technology, and gentle approach provide care that’s both comfortable and effective. From routine checkups to advanced treatments, your needs come first, so you can feel confident at every step.
Deserves the best care possible.
Experienced Dental Professionals.
Modern Technology.
Comfort & Pain-Free Care.
Clean & Hygienic Environment.
Skilled & Caring Dentists.
Online Doctors Appointment
With Suman Dental Care’s online video consultations, you can speak directly with our experienced dentists from the comfort of your own home.
Doctors Appointment
+91 954670283398%
Our Patient Care Retention Rate.
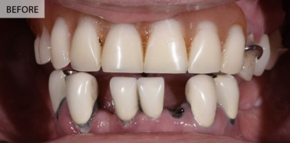
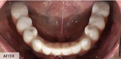
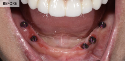
Smiles that tell real stories.
Our patients’ trust and confidence mean everything. See what they share about Suman Dental Care:
Our specialists
Meet Our Dentist
Dr. Suman Saurav
I am a dedicated & compassionate dental surgeon committed to delivering quality oral healthcare with experience in dental patient care, preventive dentistry, and a passion for continuous professional growth.
Degrees
B.D.S(PAT)11 +
Years of practice
Question & Answer
The trust and confidence of our patients mean everything. Here’s what they have to say about their experience with Suman Dental Care:
Most people benefit from a checkup every six months. Regular visits help your dentist spot early signs of cavities, gum problems, or other oral health issues before they become serious.
- Monday-Saturday 10:00 AM - 8:00 PM
- Sunday 10:00 AM - 1:00 PM
Most patients benefit from a dental checkup every 6 months, as this allows your dentist to catch early signs of cavities, gum issues, or other oral health problems before they become serious.
Most patients benefit from a dental checkup every 6 months, as this allows your dentist to catch early signs of cavities, gum issues, or other oral health problems before they become serious.
Most patients benefit from a dental checkup every 6 months, as this allows your dentist to catch early signs of cavities, gum issues, or other oral health problems before they become serious.
Fill out the form below
Book Doctor’s Appointment
News & Insight
The trust and confidence of our patients mean everything. Here’s what they have to say about their experience with Suman Dental Care:











